Դպրոց պետք է հաճախի 7 տարեկան երեխան. «Հայաստանը ես եմ» նախաձեռնության անդամ (տեսանյութ) Ուկրաինայի հարցով բանակցությունների նոր փուլը տեղի կունենա հաջորդ շաբաթ. Պեսկով ԱՄՆ-ն ձգտում է կառուցողական հարաբերությունների Վրաստանի հետ. Պետքարտուղարություն Երբ կիջնի ոսկու գինը 2026-ի աշնանից կներդրվի կենսաչափական նոր անձնագրերի և ID քարտերի համակարգ․ այլ մանրամասներ «Ալաշկերտը» ստուգողական խաղում զիջեց «Օրենբուրգին» Ռուսաստանի և Վրաստանի միջև երկաթուղային հաղորդակցության վերականգնման մասին խոսք չկա. Վրացական երկաթուղի Աշխատանքային պայմանագրերի՝ թղթային տարբերակով կնքում կպահպանվի մինչև 2027 թվականի հուլիսի 1-ը Աշոցքի տարածաշրջանում թույլ ձյուն է տեղում. Վարդենյաց լեռնանցքը փակ է բոլոր տեսակի տրանսպորտային միջոցների համար Համալսարանի տարածքում կրակոցներ են հնչել․ կան զոհեր


Գիտնականները հայտարարել են, որ ուղեղի այս հիվանդությամբ տառապում է մարդկանց գերակշիռ մեծամասնությունը.

Life

Դեժավյուն հոգեբանական կարգավիճակ է, որի ընթացքում մարդուն թվում է, թե նա էլի է հայտնվել նման իրավիճակում: Երևի Ձեզ հետ էլ է պատահել նման բան՝ որևէ անծանոթ տուն կամ վայր առաջին անգամ եք ոտք դրել, սակայն Ձեզ թվացել է, որ այդտեղ արդեն եղել եք:

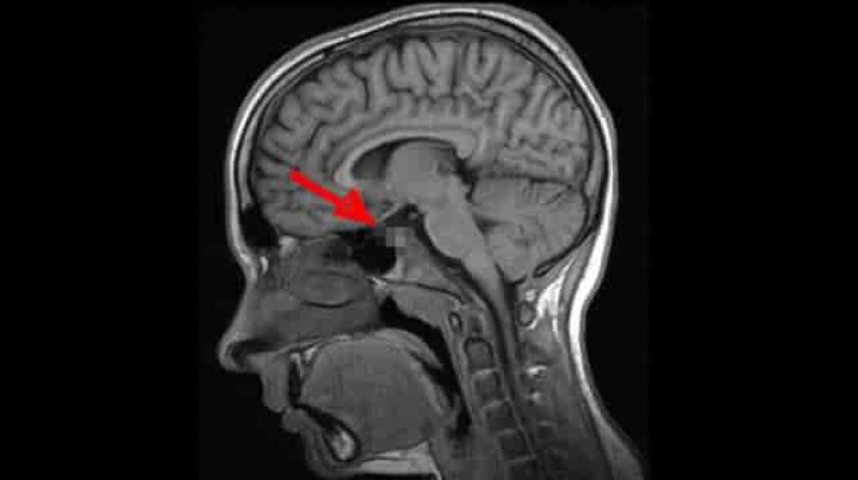
2009 թ. գիտնականները որոշեցին լրջորեն ուսումնասիրել այս ոչ սովորական երևույթը: Որոշ ժամանակ անց Մասաչուսեթսի տեխնոլոգիական համալսարանի մասնագետները հայտարարեցին, որ ուղեղն ունի այնպսիս հատված, որը պատասխանատու է այս երևույթի համար: Դեժավյուի գլխավոր դերը այն նեյրոններինն է, որոնց շնորհիվ կարողանում ենք զգալ պատկերների ամենափոքր տարբերություններն անգամ: Սրա շնորհիվ մարդը գիտակցում է, թե ինչպիսի տպավորություններ է ինքը վաղուց արդեն ստացել, իսկ որոնք են ամբողջապես նոր նրա համար: Այսն կարծես մարդու «կյանքի փորձառությունը» բաժանում է անցյալի և ներկայի: Սակայն երբ երկու տպավորություններ իրար շատ նման են լինում, ուղեղի այդ հատվածի աշխատանքը «կախում է», ինչն էլ բերում է տարօրինակ այս զագցմանը:

2009թ. բացահայտումից հետո միայն մեկ անպատասխան հարց է մնացել՝ այս երևույթը բնորոշ է առողջ մարդկա՞նց, թե՞ ոչ այնքան: Պատասխանը գտնելու պատասխանատվությունն իրենց վրա վերցրին Չեխիայի Մասարիկա և Մեծ Բրիտանիայի Էկսետերի համալսարանների մասնագետները: Նրանք պարզեցին, որ դեժավյու կարող է լինել անգամ փոքր տարիքում, երբ նոր կազմավորվում է ուղեղը: Հոգնախության և սթրեսի ժամանակ ուղեղի տվյալ հատվածի աշխատանքը խաթարվում է և արդյունքում առաջանում են հիշողություններ այնպիսի բաների մասին, որոնք երբեք չեն էլ եղել: Գիտնականների վերջնական դիագնոզը ցավալի է՝ դեժավյուն համարվում է նյարդաբանական խանգարում:

Ծանրամարտի Հայաստանի առաջնություն․ հայտնի են կին չեմպիոններըՏան սառնարանում երեխաների դիակներ են հայտնաբերվելՃՏՊ Սևան-Մարտունի-Գետափ ավտոճանապարհինՀրդեհ է բռնկվել «Երևան Սիթիի» տանիքումՊետք է հեռու մնալ Արևմուտքից ու չհավատալ դրանց գեղեցիկ ու սուտ խոսքերին․ Մհեր ԱվետիսյանԱյսօր ես տեսա թույլ վարչապետի, ով վախենում է, որ պարտվելու է. Նարեկ ԿարապետյանՆոր խաղ է սկսվել. կտեսնեք՝ հիմա մենք ինչ ենք անելու. Էդմոն ՄարուքյանՀերթական խայտառակ տապալումը․ Հրայր ԿամենդատյանԱդրբեջանի հետ բանակցային գործընթացում ձեռք բերված հակահայաստանյան պարտավորությունները կկատարվեն, եթե ՔՊ-ն հաջողի առաջիկա խորհրդարանական ընտրություններում. Էդմոն ՄարուքյանՁեր ծննդյան օրը շնորհավո՛ր, Հրամանատա՛ր. Խաչիկ ԱսրյանԱռաջիկա ընտրությունը մեր հետպատերազմյան ապատիան և խեղճությունը կոտրելու շանս է. Իվետա ՏոնոյանԵՄ-ն բացահայտ աջակցում է իշխող քաղաքական ուժին՝ միջամտելով ՀՀ ներքին գործերին․ Ավետիք ՉալաբյանԿասեցվել է Հոբարձի գյուղի մանկապարտեզի խոհանոցի արտադրական գործունեությունըԱրեգակը վերածվել է սմայլիկի. այդ դեպքով է հիմա աստղը նայում ԵրկրինԴպրոց պետք է հաճախի 7 տարեկան երեխան. «Հայաստանը ես եմ» նախաձեռնության անդամ (տեսանյութ) Ազատություն բոլոր քաղբանտարկյալներին․ Արամ ՎարդևանյանՈւկրաինայի հարցով բանակցությունների նոր փուլը տեղի կունենա հաջորդ շաբաթ. Պեսկով Team Holding-ը հայտարարում է դոլարային պարտատոմսերի երկրորդ փուլի տեղաբաշխման մեկնարկը․ տեղաբաշխողը՝ Freedom Broker ArmeniaԱՄՆ-ն ձգտում է կառուցողական հարաբերությունների Վրաստանի հետ. Պետքարտուղարություն Երբ կիջնի ոսկու գինը Team-ի ծառայությունների դիմաց վճարումները՝ նաև Fast Shift-ի հավելվածով և վճարային տերմինալներով2026-ի աշնանից կներդրվի կենսաչափական նոր անձնագրերի և ID քարտերի համակարգ․ այլ մանրամասներ «Ալաշկերտը» ստուգողական խաղում զիջեց «Օրենբուրգին» Ռուսաստանի և Վրաստանի միջև երկաթուղային հաղորդակցության վերականգնման մասին խոսք չկա. Վրացական երկաթուղի Աշխատանքային պայմանագրերի՝ թղթային տարբերակով կնքում կպահպանվի մինչև 2027 թվականի հուլիսի 1-ը Իշխանությունները վերացրեցին բանկային գաղտնիքը. Էդմոն ՄարուքյանԱշոցքի տարածաշրջանում թույլ ձյուն է տեղում. Վարդենյաց լեռնանցքը փակ է բոլոր տեսակի տրանսպորտային միջոցների համար Համալսարանի տարածքում կրակոցներ են հնչել․ կան զոհերԹուրքիայի հետ շարունակում ենք քննարկումները պայմանավորվածությունների իրականացման ուղղությամբ. Արմեն Գրիգորյան Ընդդիմադիր պատգամավորի մանդատը ինձ ընդհանրապես չի հետաքրքրում. Նաիրի ՍարգսյանՌուսաստանը միակ երկիրն է, որը 1 միլիարդ դոլար է հատկացրել Պաղեստինին. Պեսկովը՝ Խաղաղության խորհրդի մասին Զելենսկին ժամանել է Մյունխեն Ըստ բոլոր հարցումների՝ հաղթանակը Սամվել Կարապետյանի կողմն  է. Նարեկ Կարապետյան ԱՄՆ օդային տարածքը փակվել է Հայտնի են Ուկրաինայի հարցով նոր եռակողմ հանդիպման օրերը. Պեսկով Հաստատվել է Ազգերի լիգայում Հայաստանի հավաքականի խաղացանկը ԱՄՆ-ի և Եվրոպայի աջակցությունը հնարավոր է դարձնում պաղեստինցիների դեմ Իսրայելի հանցագործությունները. Էսմայիլ Բաղայի Ձմեռային Օլիմպիական խաղեր․ այսօր ունենք մեկ մասնակից Լեռներում հայտնաբերվել են վեց տղամարդու մարմիններ՝ առեղծվածային վնասվածքներով Իշխանափոխության ուղիներից մեկը ընդդիմադիր ուժերի միավորումն է․ Արմեն Մանվելյան«Քաղպայմանագիրը» ներքին քվեարկություն է անում. ուշագրավ զարգացումներ ցուցակում Ադրբեջանցիներն արդեն Հայաստան են գալիս ընդհանուր սահմանով Փաշինյանն անբարոյականության նոր հորիզոններ է նվաճում Ծայրագավառ չենք դառնալու. Մհեր ԱվետիսյանԿոտայքի մարզում պահեստ է այրվել․ ՆԳՆ-ն մանրամասներ է հայտնել ՀՀ-ի անկախության 30 տարվա ընթացքում ՀՀ-ի՝ որպես անկախ պետության գոյության հարցը երբեք քննարկման, կասկածի, կամ առեւտրի առարկա չի եղել. քնարկվել է բացառապես Արցախի կարգավիճակի հարցը. Օսկանյան «Հայփոստ» ՓԲԸ պաշտոնատար անձը մեղադրվում է խոշոր չափերով հափշտակության մեջ. նրա վերաբերյալ քրեական վարույթն ուղարկվել է դատարան Զելենսկին չի ցանկանում թույլ տալ ռուսական նավթի տարանցումը Հունգարիա. Սիյարտո «Բադալյան եղբայրներ» ընկերությունների խմբի պրոդուկտները ներկայացվել են ICE Barcelona 2026-ինՌոբերտ Քոչարյանի ամբողջական մեկնաբանությունը՝ ՀՀ-ԱՄՆ «միջուկային գործակցության» շուրջ միֆերի մասին
Ամենադիտված