Ռմբակոծությունների հետևանքով կա 2 զոհ և 7 վիրավորներ Ովքեր են հավակնում դառնալ տարվա լավագույնները. «Արտավազդ-2026» թատերական մրցանակաբաշխության 2-րդ փուլ անցած մասնակիցները «Միշտ սիրահարված ինքս ինձ». Ռոզի Ավետիսովան՝ նոր ոճով Ձյան տեղումների հետևանքով՝ հարյուրավոր մարդիկ են տուժել Կեղծ դեղ է շրջանառվել․ ահազանգ Երբ է մեկնարկում երեխայի դրամական աջակցության վճարման գործընթացը Երբ կնշվի Զատիկը 2026 թվականին Գազ չի լինի փետրվարի 12-ին․ հասցեներ Երևի մոռացավ ասի, որ ադրբեջանցիները մտել են մեր երկրի տարածք, ամրաշինական կառույցներ են ստեղծում․ Մամիջանյան Ալագյազ-Ջամշլու ճանապարհին բախվել են «Ford Transit» և «ՎԱԶ 21015»-ը. կա զnh


Խառնուրդ, որը 5 րոպեում կվերացնի ատամների փառը

Life

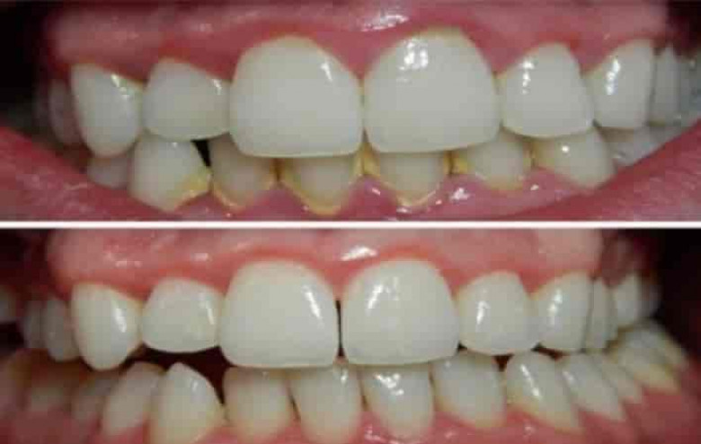
Ատամները մարմնի ամենակարևոր մասերից է, որը մենք խնամում ենք ամեն օր։ Ոչ պատշաճ խնամքի դեպքում ատամների վրա առաջանում է փառ՝ ծանր նյութ, որն ունի դեղին գույն, և տհաճ տեսք է հաղորդում ատամներին։

Այս միջոցը կօգնի ազատվել ատամների փառից մի քանի րոպեում։

Անհրաժեշտ բաղադրիչներն են՝

• Սոդա
• Ջրածնի պերօքսիդ
• Աղ
• Տաք ջուր
• Ատամի խոզանակ
• Ատամի փայտիկ
• Բերանի հականեխիչ հեղուկ (Listerine):

Կիրառման եղանակը

1․ 1 ճաշի գդալ սոդան ու կես թեյի գդալ աղը խառնել։ Ատամի խոզանակը թրջել տաք ջրով, թաթախել աղի ու սոդայի խառնուրդի մեջ և քսել ատամներին ու խոզանակով լվանալ 5 րոպե։
2․ 1 բաժակ տաք ջրի մեջ լցնել մի փոքր ջրածնի պերօքսիդ, խառնել և ողողել բերանը մի քանի րոպե, բերանից թափել խառնուրդն ու ողողել սառը ջրով։
3․ Ատամների փառը քերել ատամի փայտիկի միջոցով՝ զգուշանալով լնդերից։
4․ Բերանը ողողել հականեխիչ հեղուկով։

Այս պրոցեդուրան կատարել 2 օրը մեկ անգամ և ամբողջովին կազատվեք ատամների փառից ու կունենաք սպիտակ ատամներ։

2025-ին Թուրքիայից քանի զբոսաշրջիկ է Հայաստան այցելելՄեքսիկայում արթնացող հրաբուխը զարմացրել է գիտնականներինԱրտակարգ իրավիճակ Երևանի Դավիթ Բեկի պողոտայումՄի անհանգստացի Փաշինյան, քո աշխատավարձը 1 դրամ չի լինի, բայց հաջորդ Վարչապետինը կլինի. Նարեկ ԿարապետյանԵրևանի և մարզերի որոշ հասցեներում սպասվում են էլեկտրաէներգիայի անջատումներՈրպես անհետ կորած որոնվում է 2006 թ. ծնված Լիանա ԱրաբյանըՎարչապետ Փաշինյանի հարցազրույցը Հանրային հեռուստաընկերությանըԳերմանական շունը հայտնվել է Գինեսի գրքումՎենսը եկավ Հայաստան 9 միլիարդի գործարք կնքեց ու գնաց. Արթուր Միքայելյան«Մեր ձևով» շարժման համակարգող Նարեկ Կարապետյանն այսօր հանդիպում է ունեցել կենսաթոշակային տարիքի քաղաքացիների հետԻնչպես է ստեղծվել խորհրդային կինոյի «ոսկե» նմուշը21-ամյա վարորդը «Mercedes»-ով բախվել է հողաթմբին և հայտնվել երթևեկելի գոտուց դուրս․ կան վիրավորներԽաբել, խաբել, սենց էլ խաբել․ Ալիկ ԱլեքսանյանԱՄՆ-ի փոխնախագահ Ջեյ Դի Վենսը միակ բարձրաստճան ամերիկացին չէ, որի խոսքերը Փաշինյանի հետ հանդիպմանը «պատահաբար» սխալ են թարգմանվել․ Մարիաննա ՂահրամանյանՍաստիկ բքի պատճառով ճանապարհները ժամանակ առ ժամանակ փակվում ենԵրևանի հազարավոր հասցեներում և Ջրվեժ գյուղում ջուր չի լինիԱՄՆ-ի արտաքին քաղաքականության տրամաբանության վերաբերյալ իմ զրույցի անոնսը ԱՄՆ-ում ՀՀ նախկին դեսպան Գրիգոր Հովհաննիսյանի հետ․ Մենուա ՍողոմանյանԻ վերջո, մարդիկ պետք է իմանան իրականությունը․8 տարի տևած կեղծիքի ժամանակաշրջանը ավարտվելու է ՇՈւՏՈՎ․ Արեգա ՀովսեփյանԲա թե 9 մլրդ ներդրում. Լենա Մաթևոսյան Ստախոսությունը ամենավատ բան ա, որ պաշտոնյան կարող է ունենալ, բայց Նիկոլ Փաշինյանի թիմը պաշտոն բառի հերը անիծել ա․ Գառնիկ ԴավթյանՀայտարարագրման օրենքը շպրտել աղբարկղը. ավտորիտարիզմը պետք է մերժվի․ Էդմոն ՄարուքյանՄեկնարկել են «Նոր տարվա կինո» ֆիլմի 2-րդ մասի նկարահանումները (ՖՈՏՈ)ԱՄՆ-ում կստեղծվեն բազմաթիվ աշխատատեղեր պարոն Վենսի այցից հետո, եթե Հայաստանը կարողանա վճարել. Աշոտ ՄարկոսյանԻրեն զգուշացրել եմ, որ տեղեկություններ չկան սկսվող պատերազմի մասին, բայց հորդորում եմ վստահել սեփական հետախուզական փաստերին․ Արշակ ԿարապետյանՁյուն, ձնախառն անձրև և մառախուղ. իրավիճակը ճանապարհներին Ռմբակոծությունների հետևանքով կա 2 զոհ և 7 վիրավորներՊետությունը դառնում է խոցելի, երբ ղեկավարը դիվանագիտությունը փոխարինում է ներքին PR-ով. Ալիկ ՍարգսյանՈվքեր են հավակնում դառնալ տարվա լավագույնները. «Արտավազդ-2026» թատերական մրցանակաբաշխության 2-րդ փուլ անցած մասնակիցները «Միշտ սիրահարված ինքս ինձ». Ռոզի Ավետիսովան՝ նոր ոճով Հայաստանի ռազմավարական մետաղները և ԶՊՄԿ-ի դերը տնտեսությունումՄրգավան գյուղի բնակիչը թմրամիջոց էր պահում և օգտագործում. Արտաշատի ոստիկանների բացահայտումըՁյան տեղումների հետևանքով՝ հարյուրավոր մարդիկ են տուժելՓաշինյանի խաղաղությունը Թուրքիային և Ադրբեջանին ամեն ինչ զիջելու միջոցով է․ Ավետիք ՉալաբյանՃապոնիայում ձյան տեղումների հետևանքով՝ հարյուրավոր մարդիկ են տուժել«ՀայաՔվե» ազգային քաղաքացիական միավորումը Գյումրիում բացեց երկրորդ տարածքային գրասենյակըԿեղծ դեղ է շրջանառվել․ ահազանգ Պետական պաշտոնյաները փորձում են համոզել, որ թոշակառուները լավ են ապրում․ Հրայր ԿամենդատյանԵրբ է մեկնարկում երեխայի դրամական աջակցության վճարման գործընթացը Թարգմանչական սխալի և միտումնավոր ստի վրա պետություն չի լինում. Վահե ՀովհաննիսյանԵրբ կնշվի Զատիկը 2026 թվականինԵրբ խոսում է Ռուսաստանի նախագահը, պետք է ուշադիր լսել, այլ ոչ՝ անտեսել. Մհեր ԱվետիսյանԻրավիճակը տարածաշրջանում. բազմաբևեռություն, բիզնես, ռիսկեր և հեռանկարներ. Մենուա ՍողոմոնյանԻշխանությունը վայելում է Թուրքիայի և Ադրբեջանի աջակցությունը՝ ամենաբարձր մակարդակով․ Աննա ԿոստանյանԳազ չի լինի փետրվարի 12-ին․ հասցեներ Այսօրվա իշխանությունը շարունակում է ստի քարոզչությունը. Շիրազ ՄանուկյանԵրևի մոռացավ ասի, որ ադրբեջանցիները մտել են մեր երկրի տարածք, ամրաշինական կառույցներ են ստեղծում․ Մամիջանյան Օլիմպիական վեճը լուծեցին ՀՀ արժանապատվության հաշվին ԱԺ-ն մերժեց քաղբանտարկյալների մասին հայտարարությունը Ալագյազ-Ջամշլու ճանապարհին բախվել են «Ford Transit» և «ՎԱԶ 21015»-ը. կա զnh Թրամփը պահանջել է ԱՄՆ-ն և Կանադան միացնող կամրջի կեսի սեփականությունը
Ամենադիտված