Министр признал наличие проблемы: В Армении хотят ввести новую систему ID-карт В Армении регулирование цифровой игровой сферы должен будет осуществлять специальный оператор Самая крупная страховая компания Армении продала свои акции иностранным компаниям Министр юстиции РА не согласна с обвинением в «повальных арестах» неугодных В Армении в 2025 г по УДО вышли на свободу 170 граждан Министр юстиции Армении разъяснила, почему сирийские террористы были переданы Турции Римская империя достигла максимальных размеров после покорения Армении, Дакии, Месопотамии, Ассирии Израиль сообщил о нанесении новой серии ударов по объектам «Хезболла» Начальники ГШ Армении и Индии обсудили вопросы сотрудничества Представители омбудсмена Армении посетили УИУ «Армавир» и «Горис»


В МЦ «Астхик» сотрудничестве с благотворительным фондом «Вива» внедряют новый метод удаления аденом гипофиза

Общество

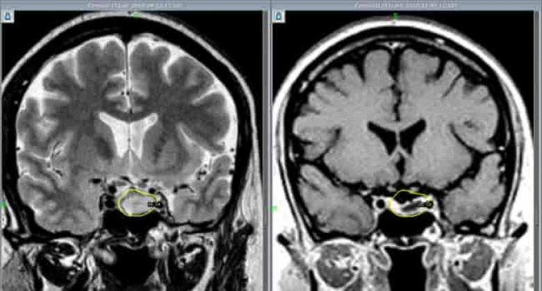
Аденома гипофиза – это доброкачественное новообразование, которое может крайне негативно сказываться на качестве жизни, вызывая нарушения со стороны эндокринной системы, а также нарушения зрения.

До недавних пор такие новообразования в МЦ «Астхик» удаляли с применением хирургического микроскопа. Теперь в медцентре внедряют и другой метод удаления аденом гипофиза – с помощью эндоскопа. Этот метод до недавних пор в Армении не применялся, и обучать ему специалистов в рамках одного из проектов благотворительного фонда «Вива» будет известный нейрохирург Вилен Азизян (Россия). В медицинском центре «Астхик» он уже провел три операции по удалению аденом гипофиза. Ассистировали ему армянские специалисты, которые в дальнейшем научатся проводить такие операции самостоятельно.

Аветис Киракосян, руководитель отделения нейрохирургии МЦ «Астхик», рассказал журналистам о том, что для внедрения эндоскопического метода удаления опухолей гипофиза был выбран медцентр «Астхик», так как материально-техническая база центра соответствует всем требованиям к проведению этих операций. Специалист уверен, что если в центре будут применяться оба метода, это поможет достигать более значительных результатов.

«В зарубежных медицинских центрах, где я проходил переподготовку, совмещают микроскопический и эндоскопический методы. После работы микроскопом проводят ревизию операционной области с помощью эндоскопа – без лишних разрезов через нос пациента вводят эндоскоп с камерой, осматривают область, иногда можно бывает обнаружить небольшие куски, которые остались вне поля зрения микроскопа, а эндоскоп может обеспечить более широкое поле зрения», - объяснил специалист.

По его словам, эндоскопическое удаление аденом гипофиза считается менее травматичным и менее инвазивным, чем микроскопическое удаление. Так или иначе, некоторым пациентам может потребоваться один из методов, некоторым – сразу оба, поэтому будет большим плюсом, если хирург будет одинаково хорошо владеть обоими методами.

Это далеко не первый проект, проводимый в Армении благотворительным фондом «Вива» (Врачи и волонтеры Армении). Татьяна Оганесян, председатель фонда, рассказала журналистам, что фонд был основан в 2016 году, с целью оказать помощь Арцаху и регионам Армении.

За пять лет фонд оснащал медицинским оборудованием госпитали и больницы страны, организовал образовательные программы и стажировки докторов. Многие врачи – члены фонда – регулярно приезжают в Армению, помогая и обучая коллег, проводя операции, помогая организовать реабилитацию раненых во время войны в Арцахе.

Как в свою очередь отметил попечитель фонда «Вива Георгий» Мелконян, главный врач 4 городской больницы Москвы, фонд проводит большую работу по обучению специалистов, чтобы врачи в Армении, овладевая новыми техниками и методами лечения, могли самостоятельно применять их в работе с пациентами и оказывать высококачественную помощь, не нуждаясь в помощи зарубежных коллег.

В дни войны в Арцахе 26 врачей фонда работали в разных полевых госпиталях – в Гадруте, Степанакерте, Мартуни, Мартакерте, Горисе, Мегри, Капане. В их числе были торакальные и сосудистые хирурги, реаниматологи, медсестры, и работали они на протяжении всей войны, сменяя друг друга.

Также во время войны фонд оказал материальную помощь в размере 2 млн долларов, 38 больниц получили медицинское оборудование.

В настоящее время фонд насчитается уже более 5000 членов, в числе которых более 700 врачей.

О невозможности оплаты услуг операторов связи через Idram и о сложившейся ситуацииМинистр признал наличие проблемы: В Армении хотят ввести новую систему ID-картВ Армении регулирование цифровой игровой сферы должен будет осуществлять специальный операторСамая крупная страховая компания Армении продала свои акции иностранным компаниямМинистр юстиции РА не согласна с обвинением в «повальных арестах» неугодныхВ Армении в 2025 г по УДО вышли на свободу 170 гражданМинистр юстиции Армении разъяснила, почему сирийские террористы были переданы ТурцииРимская империя достигла максимальных размеров после покорения Армении, Дакии, Месопотамии, АссирииКогда корпоративная социальная ответственность становится движущей силой развития бизнеса: Лала БахшецянВот ради чего ещё отбирали Электрические сети Армении (ЭСА) «Паст»Принесет ли президент извинения? «Паст»Сомнительные «исследования» и отборы проб в Армении продолжаются: а что делают соответствующие органы? «Паст»Неравные условия для телекоммуникационных компаний: платежные и расчетные компании требуют значительно более высоких комиссионных. «Паст»Израиль сообщил о нанесении новой серии ударов по объектам «Хезболла»Сегодня день рождения Генрика Кочаряна, героически защищавшего границы Родины на подступах к селу Тех.Начальники ГШ Армении и Индии обсудили вопросы сотрудничестваПредставители омбудсмена Армении посетили УИУ «Армавир» и «Горис»Власти Азербайджана убрали из конституции Нахиджевана названия Московского и Карсского договоровТрамп назвал ведущего «Грэмми» Ноа жалким после слов о нем и ЭпштейнеАрмянский стиль в лицах: шпаргалки и ходы для зимних выходов Зеленский — о переговорах в Абу-Даби: рассчитываем на активность США«У литературы нет воспитательной функции»: юбилейный вечер Руслана СагабалянаВ Армении автодороги межгосударственного и республиканского значения открытыАрмавир сказал «нет» расколу Армянской Апостольской Церкви (Фото, видео) «Европа не придёт нас спасать»: Арман Гукасян о реальной политике Все приспешники должны помнить: никакая власть не вечна։ «Паст»Арцах уничтожен, очередь за Сюником: от этнической чистки к выдавливанию армян. Сурен Суренянц Бывший министр обороны РА: в рамках сотрудничества с Россией Армения получала оружие по льготным ценам и даже бесплатно Действия властей ведут к быстрой утрате реального суверенитета Армении: «Паст»Как избежать «подливания воды на мельницу» властей? «Паст»Конференция «Комитета по защите Армянской Апостольской Церкви и христианства» в Братиславе Около половины налогов, уплачиваемых крупными налогоплательщиками, обеспечивают 50 компаний: «Паст»Захарова напомнила о «танце Пашиняна» в Карабахе, комментируя обвинения в адрес ОДКБЭкс-сотрудника института ядерной физики приговорили к семи годам колонии за фейки об армии РоссииReuters: Спецпредставитель Путина прилетит в Майами перед переговорами в Абу-ДабиФильм о Мелании Трамп провалился на премьере в ШотландииBloomberg сообщил о возможной смене подхода ЕС к санкциям против российской нефтиMAC запускает новую коллекцию «Powder Kiss»: матовые губы мечтыRalph Lauren превращает Рокфеллер-центр в ледяной оазис Олимпиады«Если ты не можешь защитить границы своей страны — не перекладывай эту проблему на других»: Айк Наапетян — Пашиняну Пашинян, изменив внешний стратегический курс страны с России на Запад, разрушил нашу систему безопасности — Суренянц Idram и WeChat Pay запускают стратегическое партнерство в АрменииPolitico: Франция первоначально была против внесения КСИР в список террористовРейс из Краснодара в Ереван отмененAP: число погибших из-за последствий снежной бури в США выросло до 85 человекМИД РФ: Брюссель рано или поздно потребует от Еревана антироссийского курса The Times: Британия внесет КСИР в список запрещенных организацийИзвестные политики и эксперты обсудили новые вызовы безопасности Армении. Новый уникальный интерактивный формат круглого стола. Имена победителей третьего тура конкурса Junius известныВопрос о лишении их сана должен быть решен немедленно: «Паст»
Самое популярное